
The Austin Flint Murmur Springerlink

Diastolic Murmurs

Diastolic Murmurs Thoracic Key


Genesis Of Austin Flint Murmur Mechanism Dr Shreetal Rajan Nair Ppt Download

The Austin Flint Murmur Versus The Mitral Stenosis Murmur Cardiology

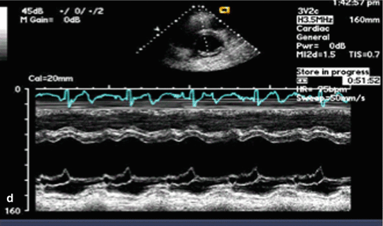
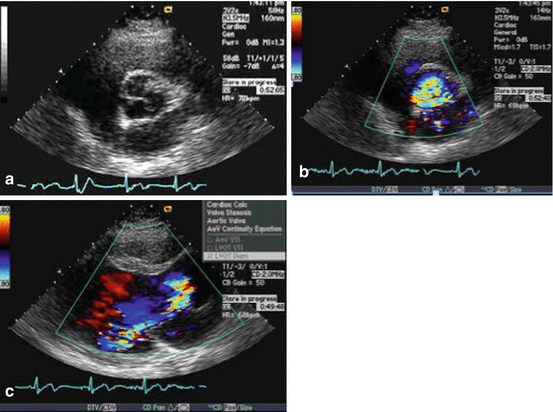
Austin Flint Murmur Re Visited International Journal Of Cardiology

The Austin Flint Murmur Springerlink

The Austin Flint Murmur Springerlink
Austin Flint Murmur

Medicosnotes Com Describe The Austin Flint Murmur

Sound Pressure Correlates Of The Austin Flint Murmur An Intracardiac Sound Study Semantic Scholar
Tags:
Archive